When a seed turns into a plant, it has under two days to survive
08-02-2018

When a seed turns into a plant, it has under two days to survive

A study led by the University of Geneva (UNIGE) has identified the key elements that control the rapid formation of functional chloroplasts within plant seeds. The researchers describe the mechanism that supports the transition to autonomous growth after seed germination is initiated.

During the process of germination, the embryo within a seed must develop into a young seedling capable of photosynthesis in less than 48 hours.

“This is a critical stage in the life of a plant, which is closely regulated, notably by the growth hormone gibberellic acid (GA). The production of this hormone is repressed when external conditions are unfavorable,”  said study co-author Professor Luis Lopez-Molina.

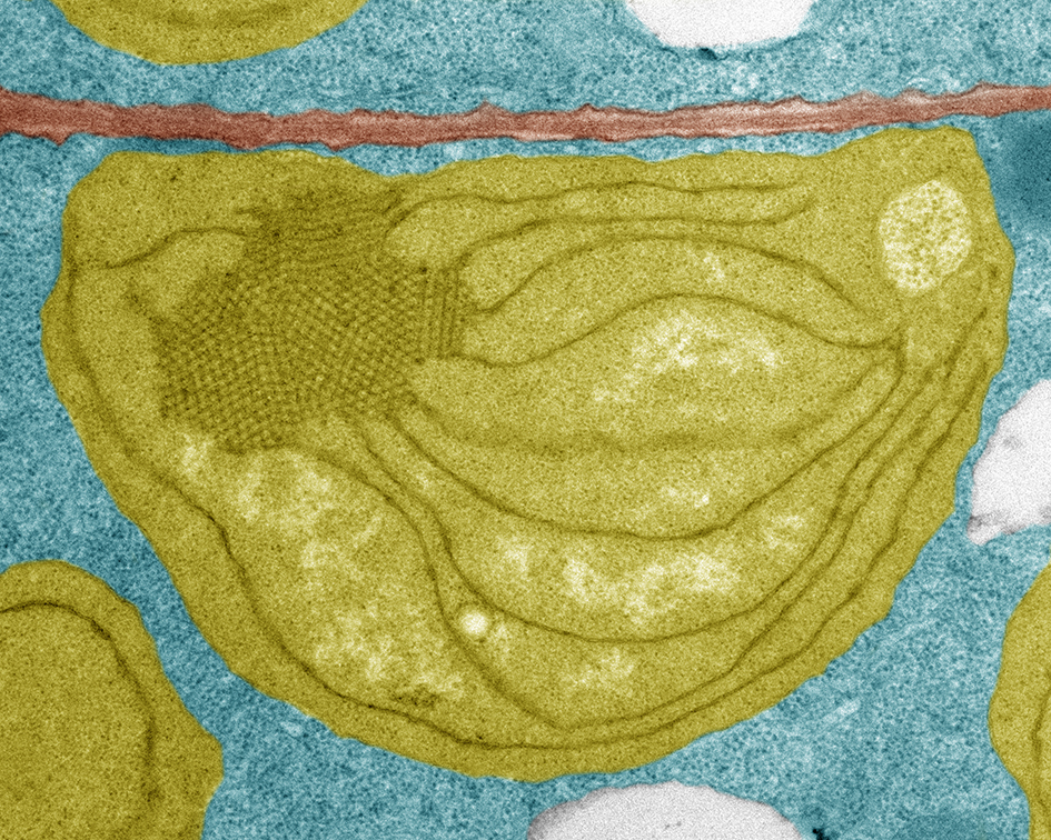
The embryo only has access to a limited amount of nutrients reserved within the seed, which makes the development of functional chloroplasts that can produce sugars essential for survival.

“Thousands of different proteins must be imported into the developing chloroplasts, and this process can only take place in the presence of a protein called TOC159. If it is lacking, the plant will be depleted in chloroplasts and will remain albino,” explained study co-author Felix Kessler.

The team investigated how the seed decides whether to keep the embryo protected or to allow seed germination.

“We have discovered that, as long as GA is suppressed, a mechanism is set up, which ensures that TOC159 proteins are transported to the cellular waste bin in order to be degraded,” said study first author Venkatasalam Shanmugabalaji.

On the other hand, GA levels rise in the seed as external conditions become favorable. The team discovered that high concentrations of this hormone indirectly block the degradation of TOC159 proteins. These proteins are inserted into the membrane of proplastids and allow for the successful import of photosynthetic proteins.

The high-performance system recognized by the team not only enables the successful transition from a dependent embryo to autonomous development, but also contributes to the survival of the seedling in an inhospitable environment.

The study is published in the journal Current Biology.

By Chrissy Sexton, Earth.com Staff Writer

Image © Sylvain Loubéry, UNIGE

News coming your way
The biggest news about our planet delivered to you each day
Subscribe